
Áp xe quanh răng là một tình trạng nhiễm trùng cấp tính nguy hiểm, thường khởi phát nhanh với biểu hiện sưng nướu, đau nhức dữ dội, cảm giác răng “đau khi chạm”, thậm chí kèm sốt hoặc hôi miệng. Không giống các cơn đau răng thông thường có thể âm ỉ, áp xe quanh răng cấp là dấu hiệu cho thấy ổ vi khuẩn đã tạo thành túi mủ và đang lan rộng trong mô quanh răng. Nếu không được điều trị áp xe quanh răng cấp đúng cách và kịp thời, tình trạng nhiễm trùng có thể tiến triển thành viêm lan tỏa, tiêu xương ổ răng, lung lay răng, hoặc nguy hiểm hơn là nhiễm trùng lan vào vùng hàm mặt. Tuy nhiên, điểm quan trọng cần nhấn mạnh là áp xe quanh răng cấp hoàn toàn có thể kiểm soát hiệu quả nếu xử trí theo đúng nguyên tắc y khoa: chẩn đoán chính xác nguyên nhân, dẫn lưu mủ, kiểm soát nhiễm trùng và điều trị triệt để nguồn bệnh. Bài viết này phân tích cơ chế hình thành áp xe, dấu hiệu cảnh báo và các phương pháp điều trị hiện đại nhằm giúp người bệnh giảm đau nhanh và phòng ngừa biến chứng lâu dài.
Áp xe quanh răng cấp hình thành như thế nào?

Áp xe quanh răng xảy ra khi vi khuẩn xâm nhập vào mô nha chu quanh răng, gây nhiễm trùng răng và hình thành ổ mủ. Nguyên nhân thường liên quan đến viêm nha chu, túi nha chu sâu, mảng bám và cao răng tích tụ lâu ngày. Khi áp lực mủ tăng lên trong mô, người bệnh sẽ xuất hiện sưng nướu đau nhức, đau nhói và có thể đau lan lên thái dương hoặc vùng hàm. Việc điều trị áp xe quanh răng cấp cần tập trung vào kiểm soát nhiễm trùng và loại bỏ nguồn gây bệnh.
Vai trò của vi khuẩn và túi nha chu trong áp xe
Trong môi trường khoang miệng, vi khuẩn luôn tồn tại nhưng sẽ bị kiểm soát khi vệ sinh tốt. Tuy nhiên, khi mảng bám tích tụ và hình thành cao răng, nướu bị viêm và tạo ra túi nha chu. Túi nha chu là khoảng trống giữa nướu và răng, nơi vi khuẩn dễ trú ẩn và sinh sôi. Khi hệ miễn dịch không kiểm soát kịp, tình trạng nhiễm trùng tăng nhanh, dẫn đến áp xe quanh răng với sự hình thành mủ.
Một điểm đặc trưng của áp xe nha chu là mủ bị “kẹt” trong túi nha chu, không thoát ra ngoài. Áp lực nội mô tăng lên làm người bệnh đau dữ dội, cảm giác như răng bị đội lên hoặc cộm khi cắn. Đây là giai đoạn cấp tính cần xử trí nhanh vì mủ càng tích tụ, mô quanh răng càng bị phá hủy. Do đó, điều trị áp xe quanh răng cấp không thể trì hoãn.
Ngoài ra, vi khuẩn kỵ khí trong túi nha chu có thể tạo mùi hôi rất nặng, khiến bệnh nhân tự ti khi giao tiếp. Sự phá hủy mô nha chu còn làm răng lung lay và nguy cơ mất răng tăng cao. Vì vậy, điều trị đúng không chỉ nhằm giảm đau tức thời mà còn bảo tồn răng thật lâu dài.
Các yếu tố nguy cơ khiến áp xe bùng phát cấp tính
Không phải mọi trường hợp viêm nướu đều chuyển thành áp xe, nhưng một số yếu tố làm nguy cơ bùng phát tăng mạnh. Thứ nhất là viêm nha chu không điều trị, khiến túi nha chu ngày càng sâu và dễ nhiễm trùng. Thứ hai là thói quen vệ sinh kém, chải răng sai cách hoặc không dùng chỉ nha khoa khiến thức ăn mắc kẹt lâu ngày. Đây là nền tảng khiến áp xe quanh răng xuất hiện đột ngột.
Một yếu tố khác là suy giảm miễn dịch, căng thẳng kéo dài, thiếu ngủ hoặc bệnh nền như tiểu đường. Khi sức đề kháng giảm, vi khuẩn dễ vượt qua hàng rào bảo vệ và gây nhiễm trùng răng nhanh hơn. Nhiều bệnh nhân mô tả áp xe xuất hiện sau vài ngày mệt mỏi hoặc ốm sốt, phản ánh mối liên hệ giữa sức khỏe toàn thân và bệnh nha chu.
Ngoài ra, can thiệp nha khoa không đúng kỹ thuật hoặc phục hình hở cũng có thể tạo điểm giữ mảng bám, làm viêm nướu kéo dài. Khi mủ hình thành, bệnh nhân thường thấy sưng nướu đau nhức rõ rệt, đôi khi có chảy mủ hoặc đau lan. Đây là dấu hiệu cần khám ngay để xử trí kịp thời.
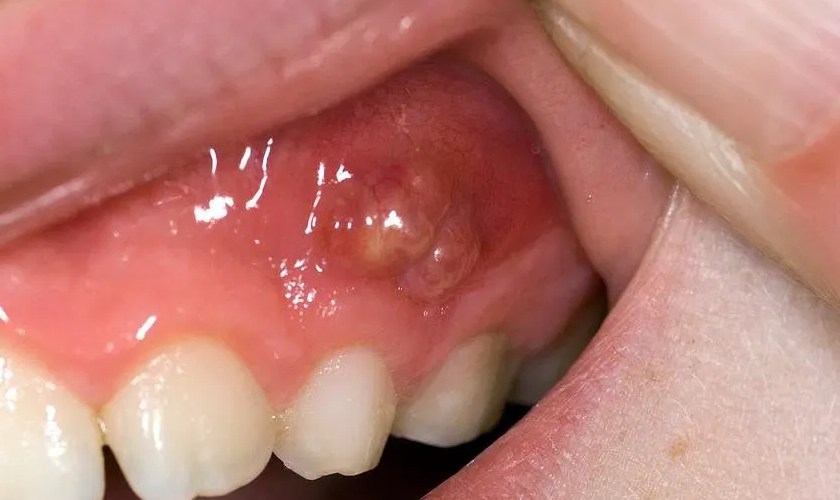
Dấu hiệu cảnh báo và phân biệt với đau răng thông thường
Điểm quan trọng trong lâm sàng là nhận diện đúng áp xe để điều trị sớm. Áp xe quanh răng cấp thường gây đau dữ dội, sưng khu trú vùng nướu, có thể xuất hiện mủ hoặc hơi thở hôi. Răng đau khi gõ hoặc khi cắn, đôi khi có cảm giác răng “dài ra” do mô quanh răng phù nề. Đây là khác biệt so với đau răng do nhạy cảm đơn thuần.
Một số trường hợp áp xe còn kèm sốt nhẹ, nổi hạch dưới hàm hoặc khó há miệng. Những biểu hiện này cho thấy nhiễm trùng đã lan rộng. Nếu người bệnh tự ý dùng thuốc giảm đau mà không dẫn lưu mủ áp xe, ổ nhiễm trùng vẫn tồn tại và có thể bùng phát mạnh hơn sau đó.
Phân biệt áp xe quanh răng với áp xe quanh chóp (do viêm tủy) cũng quan trọng. Áp xe quanh răng thường liên quan nướu và nha chu, trong khi áp xe quanh chóp liên quan tủy răng. Việc chẩn đoán chính xác sẽ quyết định phương án điều trị áp xe quanh răng cấp tối ưu và tránh tái phát.
Phác đồ điều trị áp xe quanh răng cấp hiệu quả

Nguyên tắc của điều trị áp xe quanh răng cấp là xử trí cấp cứu để giảm đau nhanh và kiểm soát nhiễm trùng, sau đó điều trị triệt để nguyên nhân nền. Bác sĩ thường ưu tiên dẫn lưu mủ áp xe, làm sạch túi nha chu, loại bỏ mảng bám – cao răng và kết hợp thuốc theo chỉ định. Sau giai đoạn cấp, người bệnh cần được theo dõi và điều trị nha chu toàn diện để ngăn tái phát. Cách tiếp cận này giúp bảo tồn răng thật và phòng biến chứng nguy hiểm.
Dẫn lưu mủ và kiểm soát nhiễm trùng cấp tính
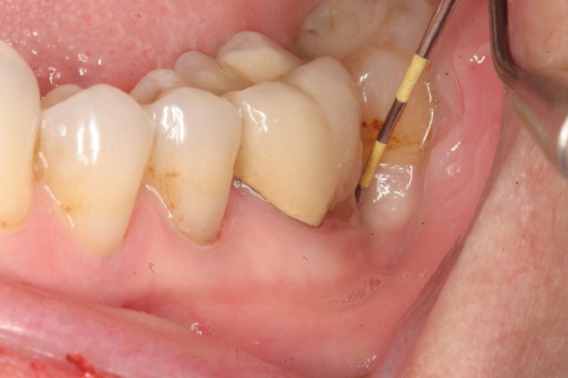
Bước quan trọng nhất trong điều trị áp xe cấp là dẫn lưu mủ áp xe. Khi mủ được thoát ra, áp lực trong mô giảm nhanh, người bệnh sẽ thấy giảm đau rõ rệt. Dẫn lưu có thể thực hiện qua túi nha chu hoặc rạch dẫn lưu tùy mức độ sưng. Đây là bước mang tính “giải áp” và là nền tảng để các phương pháp khác phát huy hiệu quả.
Sau dẫn lưu, bác sĩ làm sạch vùng nhiễm trùng bằng dung dịch sát khuẩn và hướng dẫn vệ sinh tại nhà. Trong một số trường hợp, bác sĩ có thể kê kháng sinh nếu có dấu hiệu lan rộng, sốt hoặc bệnh nhân có nguy cơ cao. Tuy nhiên, cần nhấn mạnh rằng kháng sinh không thay thế được dẫn lưu và làm sạch ổ bệnh.
Kiểm soát đau và sưng cũng được thực hiện bằng thuốc giảm đau, chống viêm theo chỉ định. Người bệnh tuyệt đối không tự nặn mủ hoặc chườm nóng tùy tiện, vì có thể làm nhiễm trùng lan rộng. Việc điều trị áp xe quanh răng cấp cần được thực hiện bởi bác sĩ để đảm bảo an toàn.
Điều trị nha chu sau giai đoạn cấp để ngăn tái phát
Sau khi kiểm soát cấp tính, bước tiếp theo là điều trị nguyên nhân nền: viêm nha chu và túi nha chu sâu. Bác sĩ sẽ cạo vôi răng, làm sạch dưới nướu và đánh giá mức độ tiêu xương. Nếu túi nha chu sâu, có thể cần điều trị chuyên sâu như làm láng gốc răng hoặc can thiệp nha chu.
Mục tiêu của điều trị nha chu là giảm vi khuẩn, làm nướu bám sát trở lại và loại bỏ “khoang trú ẩn” của vi khuẩn. Khi túi nha chu được kiểm soát, nguy cơ tái hình thành áp xe quanh răng giảm đáng kể.
Ngoài ra, bác sĩ sẽ hướng dẫn kỹ thuật vệ sinh phù hợp như dùng bàn chải kẽ, chỉ nha khoa và nước súc miệng hỗ trợ. Đây là nền tảng để kết quả điều trị bền vững, hạn chế tái phát và bảo tồn răng thật lâu dài.
Chăm sóc tại nhà và lịch tái khám an toàn
Trong giai đoạn hồi phục, người bệnh cần ăn thức ăn mềm, tránh nhai trực tiếp vùng răng bị áp xe. Vệ sinh nhẹ nhàng nhưng đều đặn, không bỏ chải răng vì sợ đau, bởi mảng bám là yếu tố khiến nhiễm trùng quay lại. Súc miệng nước muối sinh lý hoặc dung dịch theo hướng dẫn giúp giảm vi khuẩn và làm dịu nướu.
Việc tái khám đúng hẹn là bắt buộc. Bác sĩ sẽ kiểm tra mức độ lành thương, đánh giá túi nha chu và xác định liệu có cần điều trị bổ sung. Nếu bỏ qua tái khám, ổ viêm có thể âm thầm tái phát và tạo thành áp xe mới.
Về lâu dài, khám định kỳ 3–6 tháng/lần là chiến lược quan trọng để phòng ngừa. Với người có tiền sử áp xe quanh răng, lịch theo dõi thường sát hơn. Đây là cách giúp duy trì kết quả điều trị áp xe quanh răng cấp và bảo vệ sức khỏe răng miệng toàn diện.
Áp xe quanh răng là tình trạng nhiễm trùng cấp tính nguy hiểm nhưng hoàn toàn có thể kiểm soát nếu được điều trị áp xe quanh răng cấp kịp thời và đúng phác đồ. Dẫn lưu mủ, kiểm soát nhiễm trùng và điều trị nha chu sau đó là ba bước cốt lõi giúp giảm đau nhanh, ngăn biến chứng và bảo tồn răng thật. Người bệnh cần tránh tự điều trị tại nhà và nên đến nha khoa sớm khi có dấu hiệu sưng đau bất thường. Chủ động chăm sóc và tái khám định kỳ là chìa khóa để phòng tái phát lâu dài.

