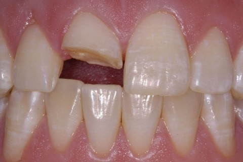
Phục hồi cổ răng bằng Composite
Tổn thương vùng cổ răng là tình trạng phổ biến ở người trưởng thành, đ..
Điều trị sâu ngà răng phục hồi bằng Composite
Sâu ngà răng là giai đoạn tiến triển của sâu răng khi tổn..
Điều trị tủy răng thủng sàn bằng MTA
Thủng sàn tủy là một biến chứng nghiêm trọng có thể xả..
Lấy tủy buồng răng vĩnh viễn
Trong thực hành nội nha, lấy tủy buồng răng vĩnh viễn là một thủ thuật..
Chụp tủy bằng Hydroxit cãni
Trong nhiều thập kỷ, chụp tủy bằng Hydroxit canxi (Calcium hydroxide)..
Chụp tủy bằng MTA
Trong nha khoa hiện đại, xu hướng điều trị ngày càng ưu tiên nguyên..
Điều trị tủy răng có sử dụng siêu âm và hàn kín hệ thống ống tủy bằng Gutta percha nguội
Trong nha khoa hiện đại, Điều trị tủy răng không chỉ dừng lại ở việc..
Điều trị áp xe quanh răng cấp - Giảm đau nhanh, ngăn biến chứng nguy hiểm
Áp xe quanh răng là một tình trạng nhiễm trùng cấp tính nguy hiểm, t..
Liên kết cố định răng lung lay bằng dây cung kim loại và Composite
Liên kết cố định răng lung lay bằng dây cung kim loại và Composite (..
Phẫu thuật ghép xương nhân tạo để cấy ghép implant
Trong điều trị mất răng hiện đại, cấy ghép implant được xem là giải..
Hiển thị 1 đến 10 trong 10 (1 Trang)











