Tổn thương vùng cổ răng là tình trạng phổ biến ở người trưởng thành, đặc biệt trong nhóm bệnh nhân có thói quen chải răng mạnh tay, nghiến răng hoặc ăn uống nhiều thực phẩm có tính acid. Mòn cổ răng không chỉ gây mất thẩm mỹ mà còn dẫn đến ê buốt cổ răng kéo dài, ảnh hưởng rõ rệt đến sinh hoạt hàng ngày. Khi lớp men và cement vùng cổ răng bị tổn thương, ngà răng lộ ra và trở nên nhạy cảm trước kích thích nhiệt hoặc cơ học. Trong bối cảnh đó, phục hồi cổ răng bằng Composite được xem là giải pháp bảo tồn hiệu quả, giúp tái tạo hình thể răng, giảm ê buốt và cải thiện thẩm mỹ tự nhiên.

Vật liệu Composite nha khoa có khả năng liên kết vi cơ học với mô răng, đồng thời cho phép lựa chọn màu sắc phù hợp với răng thật. Phương pháp này không chỉ khôi phục chức năng bảo vệ của cổ răng mà còn giúp ngăn tiến triển tổn thương sâu hơn về phía tủy. Bài viết dưới đây phân tích nguyên nhân, cơ chế bệnh sinh và quy trình điều trị nhằm mang lại góc nhìn học thuật và thực tiễn về phục hồi cổ răng.
Nguyên nhân và cơ chế tổn thương cổ răng
Mòn cổ răng là kết quả của tác động cơ học và hóa học kéo dài lên vùng tiếp giáp giữa thân răng và chân răng. Đây là khu vực có cấu trúc mô mỏng và nhạy cảm, dễ bị ảnh hưởng bởi lực chải răng sai cách, acid thực phẩm hoặc sang chấn khớp cắn. Khi lớp bảo vệ tự nhiên bị mất, ngà răng lộ ra và gây ê buốt cổ răng rõ rệt.

Ảnh hưởng của thói quen chải răng và lực cơ học
Chải răng với lực quá mạnh hoặc sử dụng bàn chải lông cứng là nguyên nhân hàng đầu gây mòn cổ răng. Lực ma sát lặp lại tại một vị trí cố định khiến men và cement bị mài mòn dần theo thời gian. Đặc biệt, động tác chải ngang làm tăng áp lực lên vùng cổ răng.
Ngoài ra, nghiến răng khi ngủ tạo ra lực nén và uốn cong tại cổ răng, gây nên tổn thương dạng hình chêm. Đây là dạng tổn thương không do vi khuẩn mà do cơ học, nhưng vẫn gây ê buốt cổ răng tương tự sâu răng.
Khi mô răng bị mất đi, vùng ngà lộ ra dễ bị kích thích bởi nhiệt độ và thực phẩm acid. Nếu không thực hiện phục hồi cổ răng bằng Composite, tổn thương có thể lan rộng và làm tăng nguy cơ viêm tủy về sau.
Tác động của acid và yếu tố hóa học
Thực phẩm có tính acid cao như nước ngọt có gas, trái cây chua hoặc rượu vang có thể làm giảm độ pH khoang miệng, dẫn đến mất khoáng tại vùng cổ răng. Quá trình này diễn ra âm thầm và tích lũy theo thời gian.
Ở những người có trào ngược dạ dày thực quản, acid từ dạ dày có thể tiếp xúc với răng, làm tổn thương bề mặt răng nghiêm trọng hơn. Khi lớp bảo vệ bị suy yếu, mô ngà dễ bị mài mòn bởi lực cơ học nhẹ.
Sự kết hợp giữa acid và lực chải răng tạo nên tổn thương phức hợp. Lúc này, điều trị tổn thương cổ răng bằng phương pháp phục hồi thẩm mỹ là cần thiết để bảo vệ cấu trúc răng còn lại.
Biểu hiện lâm sàng và hậu quả nếu không điều trị
Biểu hiện điển hình của mòn cổ răng là rãnh lõm hình chêm ở sát nướu. Người bệnh thường than phiền về ê buốt cổ răng khi uống nước lạnh hoặc hít không khí lạnh.
Nếu tổn thương tiến triển, ngà răng có thể đổi màu sẫm và làm giảm tính thẩm mỹ. Ngoài ra, mảng bám dễ tích tụ tại vùng lõm, làm tăng nguy cơ viêm nướu.
Việc trì hoãn phục hồi cổ răng bằng Composite có thể khiến tổn thương lan sâu hơn, tăng độ nhạy cảm và làm suy yếu cấu trúc răng tổng thể.
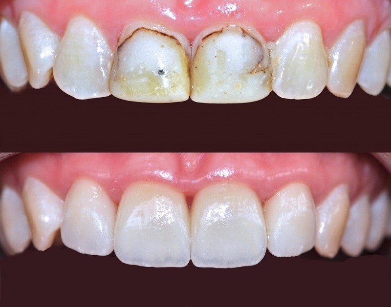
Phục hồi cổ răng bằng Composite - giải pháp bảo tồn và thẩm mỹ

Phục hồi cổ răng bằng Composite là phương pháp sử dụng vật liệu nhựa quang trùng hợp để tái tạo hình thể vùng cổ răng bị mất mô. Kỹ thuật này giúp che phủ ngà lộ, giảm ê buốt và cải thiện màu sắc răng. Nhờ khả năng liên kết tốt với mô răng, Composite tạo nên lớp bảo vệ bền vững và tự nhiên.
Quy trình phục hồi cổ răng chuẩn lâm sàng
Bác sĩ tiến hành làm sạch bề mặt răng và loại bỏ mô yếu nếu có. Sau đó, bề mặt được xử lý bằng hệ thống keo dán chuyên biệt nhằm tăng độ bám dính của Composite nha khoa.
Vật liệu Composite được đặt từng lớp mỏng và chiếu đèn quang trùng hợp để đông cứng hoàn toàn. Quá trình này đảm bảo độ kín sát và hạn chế vi khuẩn xâm nhập.
Cuối cùng, bác sĩ chỉnh sửa và đánh bóng để đạt hình thể tự nhiên, đảm bảo răng phục hồi hài hòa với mô nướu xung quanh và không gây cộm khi ăn nhai.
Ưu điểm của Composite trong phục hồi cổ răng
Vật liệu Composite có màu sắc tương đồng với răng thật, giúp trám cổ răng thẩm mỹ mà không lộ dấu vết điều trị. Đây là ưu điểm vượt trội so với vật liệu kim loại trước đây.
Khả năng liên kết vi cơ học với mô răng giúp tăng độ bền và hạn chế bong tróc. Khi thực hiện đúng kỹ thuật, miếng trám có thể duy trì nhiều năm.
Ngoài ra, phương pháp này giúp giảm nhanh ê buốt cổ răng, cải thiện chức năng ăn nhai và mang lại cảm giác thoải mái trong sinh hoạt hàng ngày.
Chăm sóc sau phục hồi và duy trì kết quả
Sau khi phục hồi cổ răng bằng Composite, người bệnh nên sử dụng bàn chải lông mềm và chải răng theo chiều dọc để tránh tái mòn vùng cổ răng.
Hạn chế thực phẩm quá chua hoặc có tính acid cao giúp bảo vệ lớp phục hồi. Đồng thời, kiểm soát nghiến răng bằng máng bảo vệ nếu cần.
Khám nha khoa định kỳ giúp theo dõi tình trạng miếng trám và phát hiện sớm bất kỳ dấu hiệu bong tróc hoặc tổn thương mới, đảm bảo hiệu quả lâu dài.
Phục hồi cổ răng bằng Composite là giải pháp bảo tồn hiệu quả cho tình trạng mòn cổ răng và ê buốt cổ răng. Phương pháp này giúp tái tạo cấu trúc răng tự nhiên, cải thiện thẩm mỹ và bảo vệ mô răng khỏi tiến triển tổn thương sâu hơn. Khi kết hợp với thói quen chăm sóc đúng cách và tái khám định kỳ, kết quả phục hồi có thể duy trì ổn định trong nhiều năm. Chủ động điều trị sớm không chỉ giúp giảm khó chịu mà còn bảo vệ sức khỏe răng miệng toàn diện lâu dài.

