
Trong nha khoa thẩm mỹ hiện đại, xu hướng làm đẹp răng không còn dừng lại ở việc “trắng hơn” mà hướng tới sự tự nhiên, hài hòa và bảo tồn tối đa mô răng thật. Veneer sứ toàn phần vì vậy đã trở thành một trong những phương pháp được ưa chuộng nhất hiện nay, đặc biệt với những khách hàng yêu cầu cao về thẩm mỹ và độ tinh tế. Khác với chụp sứ truyền thống, mặt dán sứ thẩm mỹ chỉ tác động rất ít đến cấu trúc răng, giúp giữ lại gần như toàn bộ men răng tự nhiên. Với độ dày siêu mỏng nhưng độ bền cao, veneer răng sứ có khả năng che phủ các khuyết điểm như răng xỉn màu, răng thưa, răng lệch nhẹ hoặc bề mặt men không đều. Khi kết hợp với công nghệ thiết kế nụ cười và chế tác CAD/CAM, Veneer sứ toàn phần không chỉ mang lại vẻ đẹp tự nhiên mà còn giúp cá nhân hóa nụ cười theo từng khuôn mặt. Đây không đơn thuần là một phương pháp nha khoa, mà còn là giải pháp nâng tầm hình ảnh và sự tự tin trong giao tiếp hiện đại.
Veneer sứ toàn phần và bản chất của phục hình bảo tồn

Veneer sứ toàn phần là kỹ thuật dán một lớp sứ mỏng lên mặt ngoài của răng nhằm cải thiện màu sắc, hình thể và độ đều của cung răng. Phương pháp này đề cao yếu tố bảo tồn, chỉ mài rất ít hoặc thậm chí không cần mài trong một số trường hợp.
Veneer sứ toàn phần giúp bảo tồn mô răng thật tối đa
Khác với chụp sứ truyền thống cần mài nhỏ toàn bộ thân răng, dán sứ veneer chỉ tác động lên lớp men bên ngoài với tỷ lệ rất thấp. Điều này giúp giữ nguyên cấu trúc răng thật, giảm nguy cơ ê buốt và biến chứng lâu dài. Trong nha khoa hiện đại, bảo tồn mô răng được xem là nguyên tắc cốt lõi, và Veneer sứ toàn phần đáp ứng rất tốt tiêu chí này.
Việc giữ lại men răng tự nhiên cũng giúp tăng độ bám dính của veneer, bởi men răng là nền tảng lý tưởng cho các vật liệu dán nha khoa. Nhờ đó, phục hình có thể đạt độ ổn định cao hơn so với các phương pháp xâm lấn nhiều hơn.
Veneer sứ toàn phần tái tạo hình thể và màu sắc tự nhiên
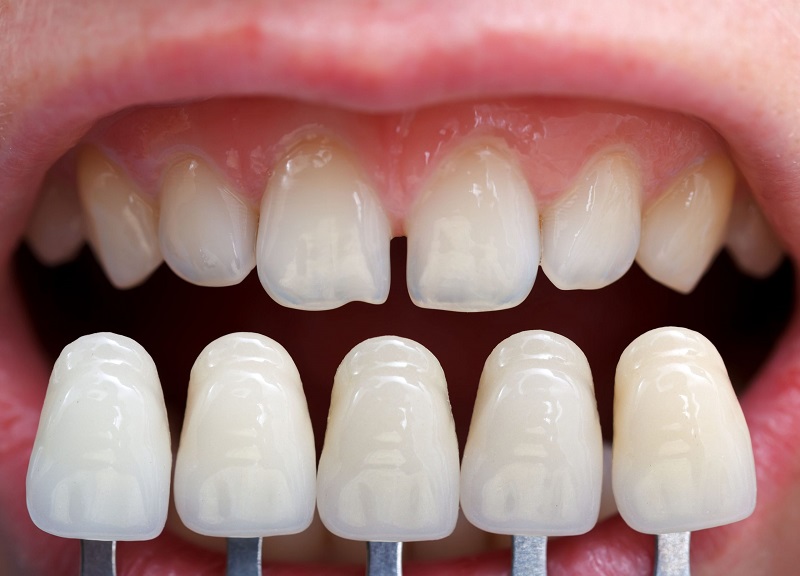
Một trong những ưu điểm nổi bật của mặt dán sứ thẩm mỹ là khả năng tái tạo màu sắc giống răng thật. Sứ veneer có độ trong và độ phản quang tương tự men răng, giúp nụ cười không bị “giả” hay quá trắng.
Ngoài màu sắc, veneer răng sứ còn giúp điều chỉnh hình thể răng, tạo sự cân đối giữa các răng và hài hòa với khuôn mặt. Các chi tiết như độ dài, độ cong hay độ dày của răng đều được thiết kế cá nhân hóa, mang lại hiệu quả thẩm mỹ cao.
Veneer sứ toàn phần và công nghệ CAD/CAM hiện đại
Sự phát triển của công nghệ CAD/CAM đã nâng cao đáng kể độ chính xác của phục hình răng thẩm mỹ. Dữ liệu răng được quét kỹ thuật số, sau đó thiết kế và chế tác với sai số cực thấp.
Nhờ đó, răng sứ mỏng cao cấp có thể ôm sát bề mặt răng, hạn chế khe hở và tăng độ bền liên kết. Công nghệ này cũng giúp rút ngắn thời gian điều trị, đồng thời đảm bảo tính thẩm mỹ và chức năng tối ưu.
Veneer sứ toàn phần và giá trị thẩm mỹ - chức năng lâu dài

Không chỉ là giải pháp làm đẹp, Veneer sứ toàn phần còn mang lại giá trị sử dụng lâu dài khi được chỉ định đúng và thực hiện chuẩn kỹ thuật. Đây là lựa chọn lý tưởng cho những ai mong muốn một nụ cười đẹp bền vững.
Veneer sứ toàn phần mang lại nụ cười tự nhiên và sang trọng
Nhờ đặc tính quang học của sứ, Veneer sứ toàn phần giúp răng phản xạ ánh sáng tự nhiên, tạo hiệu ứng giống răng thật. Điều này đặc biệt quan trọng trong các tình huống giao tiếp gần.
Không giống các phương pháp làm trắng đơn thuần, mặt dán sứ thẩm mỹ mang lại sự thay đổi toàn diện về hình thể và màu sắc, giúp nụ cười trở nên hài hòa và tinh tế hơn.
Veneer sứ toàn phần đảm bảo độ bền và khả năng ăn nhai
Mặc dù có độ dày mỏng, veneer răng sứ vẫn có khả năng chịu lực tốt khi được dán đúng kỹ thuật. Vật liệu sứ hiện đại có độ cứng cao, giúp duy trì chức năng ăn nhai ổn định.
Tuy nhiên, để đảm bảo độ bền lâu dài, bệnh nhân cần tuân thủ hướng dẫn chăm sóc và tránh các thói quen như cắn vật cứng hoặc nghiến răng. Khi được bảo vệ đúng cách, Veneer sứ toàn phần có thể sử dụng ổn định trong nhiều năm.
Veneer sứ toàn phần phù hợp với những trường hợp nào
Phương pháp này phù hợp với các trường hợp răng xỉn màu, răng thưa, răng lệch nhẹ hoặc bề mặt men không đều. Ngoài ra, những người mong muốn cải thiện nụ cười nhanh chóng mà không can thiệp sâu vào cấu trúc răng cũng là đối tượng phù hợp.
Tuy nhiên, với các trường hợp răng tổn thương nặng hoặc sai lệch khớp cắn lớn, bác sĩ có thể chỉ định phương pháp khác phù hợp hơn. Việc thăm khám và tư vấn kỹ lưỡng là yếu tố quyết định hiệu quả của phục hình răng thẩm mỹ.
Veneer sứ toàn phần là giải pháp thẩm mỹ tiên tiến, kết hợp giữa yếu tố bảo tồn và hiệu quả thẩm mỹ vượt trội. Với khả năng tái tạo nụ cười tự nhiên, hạn chế xâm lấn và duy trì độ bền lâu dài, phương pháp này ngày càng được ưa chuộng trong nha khoa hiện đại. Nếu bạn đang tìm kiếm một giải pháp cải thiện nụ cười tinh tế và an toàn, Veneer sứ toàn phần chính là lựa chọn đáng cân nhắc.

